文字
背景
行間
2023年9月の記事一覧
林間学校 夜
食事はバイキング方式、その子の食事の傾向が見えます。
ドリンクバーは大人気。お腹壊さないといいな。
キャンプファイヤーは、けっこう盛り上がっています。
レク人としてはもっと弾けてほしいと思いました。
これも経験。頑張れ!
林間学校です。
手賀の丘公園内のアスレチック体験です。この木なんの木という樹木探しもしています。
代表委員会
本日昼休みに代表委員会が行われました。
3年生以上の学級委員と児童会役員の話し合いの場です。
10月に行われる「陸上選手を励ます会」と「音楽部を励ます会」の確認でした。
学級委員は学級に持ち帰り、クラスのみんなに注意事項を伝え、盛り上げるようお願いをします。
いろいろな場面で誰かが企画運営し、ひとつひとつの学校行事、イベントが実施されていくのです。
選手代表だけがヒーローではなく、支える人がいるから頑張れることを意識させたいですね。
児童会役員のみなさん、がんばってください。
掃除をする子。
本校では、掃除の時間は、週3日。掃除のない日は、時間を繰り上げ、下校時間を早めています。
その3回の掃除を子供たちは一生懸命にしています。素晴らしいことです。
洗い場のたわしでごしごし。膝をついて廊下のぞうきんがけ。くつばこのくつを一つずつ取り出し、砂をかき出す。
手をのばして窓ふき、ほうきで階段のほこりを集めるなど。
▼チャンバラをして遊ぶ子はいません。
▼教室で寝そべっている子もいません。
みんなそれぞれに担当のか所をきれいにしようと頑張っています。それがいい。
巡回しながらほめて、ほめて、ほめ歩いています。手の止まっている子もまた手が動き出します。
2年生 体力テストの測定を5年生と行いました。
2年生が,上体おこし,20mシャトルラン,反復横跳び,立ち幅跳びを,5年生に手伝いに来てもらって体力テストの測定を行いました。5年生がとても優しく2年生に教えてくれました。みんな達成感を持って,活動に取り組むことができました。とても楽しい時間になりました。
今日の学校の様子
今日の学校の様子
・5,6年生は、委員会活動がありました。(先々週台風の影響で延期になった分、クラブ活動と振り替えました。)
・6年生 スポーツテスト シャトルラン20m走の様子。6年女子は57回で10点、男子は80回で10点。さあどう?
・2年生 鍵盤ハーモニカの器楽練習。こうして吹けるようになりました。以前は「エアー吹き」つもり演奏でした。
ここに来て、コロナ感染症の拡大が懸念されます。近隣小中学校で学校休校、学年・学級閉鎖が出ています。
引き続き、手指消毒、換気、体力づくり、健康的な生活を呼びかけていこうと思います。
カレーライスづくり
来週末に5年生の林間学校を控えています。そこで、一歩先に、5年生のしいすま学級の児童は、カレー作りに挑戦しました。
本番の日に向けての練習です。家庭科室を利用し、教師の指導の下、美味しいカレーライスができました。
「校長先生 どうぞ召し上がってください。」と自信満々の顔で校長室まで届けに来てくれました。
とても美味しかったです。ありがとう。これなら本番もバッチリですね。
校内授業研究会(国語)
今日は、1年生から6年生まで5時間授業で下校となりました。
その後、先生方の授業研究会を行いました。
3時間目に1年1組、4時間目に3年2組の国語の授業を参観し、全職員で、「国語の書く力」
について、協議をして、授業力を向上させようというねらいがあります。
県教育庁東葛飾教育事務所指導室から講師をお招きし、指導していただきました。
職員皆真剣です。先生方も学び続ける教師でいなくては。
1年1組のみなさん、3年2組のみなさん、とてもよく頑張っていました。よく書いていました。素晴らしい。
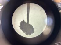
理科:顕微鏡の中の世界(5年生)
この顕微鏡のレンズの中は、何かお分かりになりますか?アサガオのどこかのパーツを観察しています。
顕微鏡のピントがピッタリと合った途端、あちこちから「わ~!!すごい!」と感嘆の声が上がります。
科学の入り口として、理科の実験を通して沢山のことに興味を抱いて欲しいです。
(観察しているものの正解は、「めしべの先についた花粉」です)
三連休明けの学校。
三連休
明け、少し欠席児童が増えたように思います。引き続き猛暑の日々、始業式から2週間経っての疲れからくる体調不良、感染症の影響もあるでしょう。
月末には林間学校が控えています。5年生は特に健康管理に注意をして欲しいと思います。
今日も音楽部、運動部に所属する児童は、一生懸命に練習をしています。
職員は、特別活動部会、研修部会、生徒指導部会に分かれ、今月の反省や来月の目標の確認をし、今起こっている課題の情報共有をしています。みんなが「学校」で頑張る。普通の活動であり、充実した日々です。
画像はあくまでも個人的に楽しまれる範囲で取扱われるようお願いいたします。画像等の情報は,他の情報と結びついて個人を特定させる性質があることから,情報悪用の危険が伴います。公開範囲が広ければ広いほど悪用されるリスクが高まります。公開範囲を限定していても,そのつながりを超えて漏れていく可能性があります。
一般的なマナーとして,SNS,動画サイト等への学校行事等の画像をアップする行為については,慎重さが求められます。
子どもを不審者被害や犯罪から守る観点からも御理解御協力の程,よろしくお願いいたします。
〒277-0825
千葉県柏市布施925-1
TEL:04-7133-2077
FAX:04-7134-5530
このホームページにおける文章、写真の著作権は柏市立富勢小学校にあります。無断転載は固くお断りします。